Khám Phá & Thưởng Thức
28/02/2018
Hiện nay, ngày càng có nhiều người cảm thấy mệt mỏi và đơn độc nơi làm việc. Kết quả của Cuộc khảo cứu xã hội năm 2016 cho thấy so với khoảng 20 năm trước, số lượng người xác nhận thường xuyên cảm thấ...
11/02/2018
Nắm trong tay 78,7 tỷ USD, tỷ phú Warren Buffett không cho rằng khối tài sản đó giúp ông trở thành người giàu có nhất nhì thế giới. Định nghĩa về sự thành công của Warren Buffett không phụ thuộc vào t...
02/02/2018
Làm việc nhiều giờ trong ngày là một điều rất bình thường ở Nhật Bản, và ngày nay nó đang nhanh chóng trở thành một tiêu chuẩn mới trong xã hội hiện đại của đất nước này. Tuy nhiên, càng ngày càng có...
21/01/2018
Bạn đã từng nghe đến ‘Hội chứng ám ảnh về tiền bạc’ chưa? Bạn có hay bị căng thẳng về chuyện tiền nong?
Bác sĩ chuyên khoa về sức khỏe tâm thần Roger Henderson đã sử dụng thuật ngữ “hội chứng á...
19/01/2018
Hà Nội đẹp ở mọi góc nhìn, đẹp ở nét cổ kính, đẹp cả ở vẻ hiện đại, trẻ trung nhưng vẫn thanh bình. Dưới góc nhìn của nhiếp ảnh gia, những khung hình tưởng như bình dị, thân quen nhưng lại một lần nữa...
16/01/2018
Một bậc Thượng sư Kim Cương thừa nổi tiếng có rất nhiều đệ tử, một ngày nọ có một người đến xin được làm đệ tử của ngài. Bậc Thượng sư hỏi: “Dĩ nhiên ta sẽ chấp thuận, nhưng con có những phẩm h...
02/01/2018
Lòng tốt của con người kết hợp với sức mạnh của mạng xã hội đã làm nên nhiều câu chuyện cảm động và lan tỏa chúng trong năm qua.
Cặp song sinh lần đầu gặp nhau sau 10 năm thất lạc.
Audrey Doe...
24/12/2017
Suy nghĩ tích cực là một trạng thái tâm lý và cảm xúc tập trung vào những mặt tốt và kỳ vọng vào những kết quả tích cực. Xây dựng và duy trì một thái độ tích cực không chỉ liên quan đến những suy nghĩ...
16/12/2017
Bà tôi sinh năm 1904 và di cư sang Mỹ với gia đình từ nhỏ. Năm 12 tuổi, bà bị mẹ bắt phải nghỉ học và làm việc 12 tiếng một ngày ở một nhà máy sản xuất lốp xe để phụ giúp gia đình. Đến năm 17, vì lý d...
03/12/2017
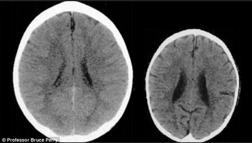
Trẻ được yêu thương có bộ não phát triển đầy đủ, kích thước lớn hơn trẻ bị bỏ bê, lạm dụng tinh thần hay thể chất.
Não bộ của hai bé ba tuổi có sự khác nhau rõ ràng. Ảnh: The Sun.
Bên t...










